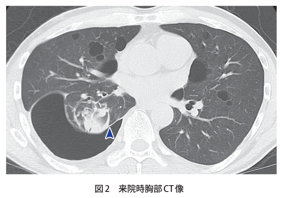
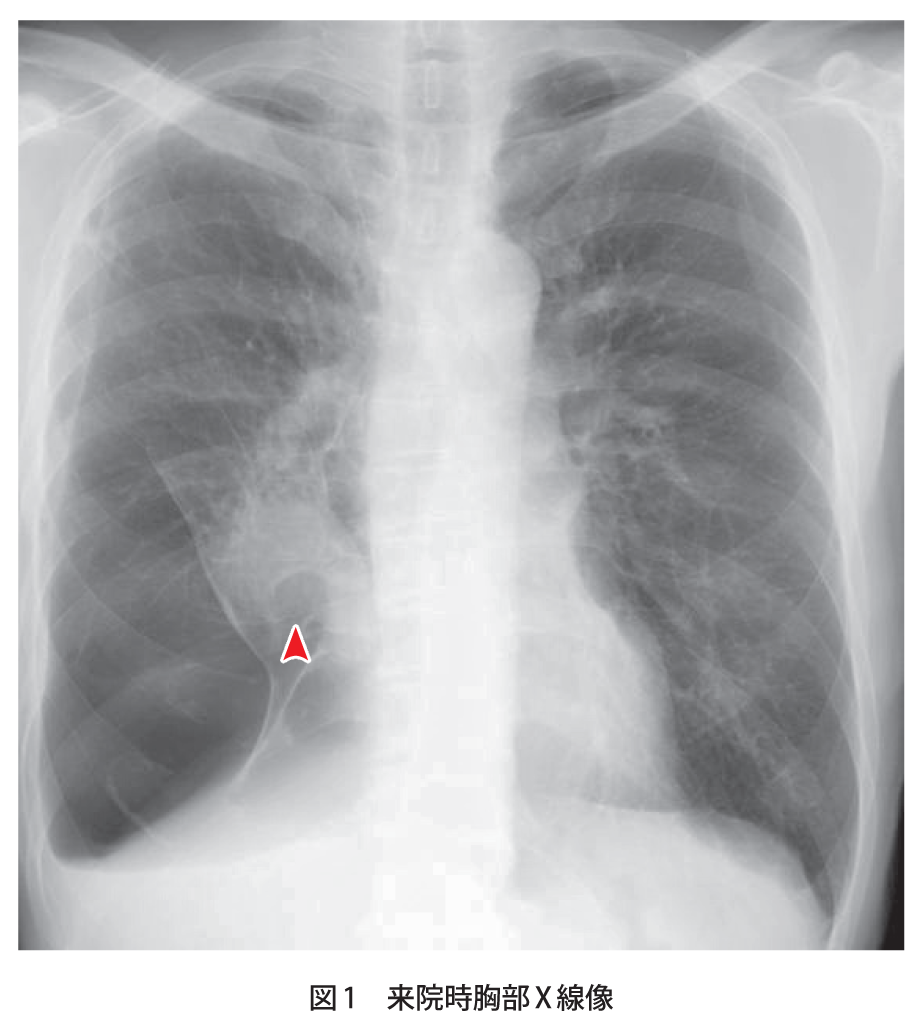
無気肺の存在診断は、画像検査で、含気を失った罹患肺葉は濃厚なくさび型陰影として認められる。典型的な肺葉性無気肺の場合、図に示したような所見をとる( 図表 > 図表 > 図表 > 図表 > 図表 > 図表 > )。 。 また、無気肺によって生じる位置の偏位や濃度の変化を来す無気肺周辺の変化を>画像所見 : 胸部単純 x 線写真正面像では右下肺内側が暗くなっており、右心第 2 弓の輪郭が不明瞭(シルエットアウト)。 側面像では肺門部から前肋横角に向かう紡錘形の陰影(↓)がみられる。 >診断 : 中葉無気肺 >解説 : 無気肺化した中葉は正面単純写真では右心第 2 弓を底辺と 肺の場所をct画像でチェック! 縦隔条件(じゅうかくじょうけん) 30歳代男性の造影剤を用いていない単純ctの冠状断像(前から見た画像と思ってください)です。 さらにこの肺以外の様々な臓器が写っている条件を縦隔条件と言います。 左右の真っ黒な肺 はいずれも左右の肋骨などが作
胸部x線写真 各論3 無気肺 やさしイイ呼吸器教室
無気肺 画像 ct
無気肺 画像 ct- Answer 無気肺の病態は主に吸収性(閉塞性)、癒着性、受動性、圧排性、瘢痕性、荷重性の6つがある 肺葉により特徴的な画像所見を呈する 無気肺は臨床でよく出会う病変ですが、無気肺に関してあまり深く考 無気肺が疑われる場合、画像検査と気管支検査を実施して診断します。 画像検査 胸部レントゲンやctなどの画像検査が行われます。 一般的には、無気肺となった肺は濃厚な楔状の陰影として見られます。その形態や位置は肺のどの部分が無気肺になるかに



Hospital Tottori Tottori Jp
本日の注目ニュース 画像無症状だったコロナ患者の肺がコレってマジやばくね? ! 年02月28日 新型コロナウイルス 無症状 肺 レントゲン 1 (金) IDeXWaVTIA0 これ終わりやろ オススメ記事 ・ 悲報色覚弱者の見てる世界、ガチ 無気肺の基礎知識 point 無気肺とは 肺に空気が入らずにしぼんでしまった状態を無気肺と言います。無気肺になる原因は、痰詰まり・気管支内の異物・肺がんが多いです。主な症状は発熱・息切れ・頻脈などです。聴診や画像検査(胸部レントゲン検査や5肺・胸膜 (5)肺拡張不全・虚脱(無気肺)病理コア画像 5肺・胸膜 (5)肺拡張不全・虚脱(無気肺) マクロ像:拡張した後で生じる2次性無気肺または肺虚脱(collapse)である。 左肺全体、右肺中葉と下葉(点線)が虚脱している。
胸部の画像診断 '腫瘍性病変' •閉塞性肺炎や無気肺などの末梢肺の二次 性変化が手がかりとなることが多い •小細胞癌は、末梢肺の二次性変化が乏しい 傾向にある •喫煙、重金属、石綿、珪素、大気汚染などと の関連が高い •低悪性度の肺門部気道腫瘍として、カルチノ イド、腺様関係するものには,①肺実質病変(石綿肺,円形無気肺) ②良性胸膜病変(胸膜プラーク,びまん性胸膜肥厚,良性 石綿関連胸水)③悪性病変(肺癌,胸膜中皮腫5))がある。 以下に胸部単純x線写真とct画像を中心に症例を 呈示する一方,近年注目されているfdgpet/ctにつ いても臨床的有用"the expansion of (ab)^2 is a^2 2ab b^2" the act of increasing (something) in size or volume or
WordNet a function expressed as a sum or product of terms; 無気肺 無気肺もざっくりと言えば「 白くべったり 」見えます。 影の形は 無気肺を起こす場所によってバリエーションが多い です。 ひどい場合は同じように片方が真っ白に見えます。先ほどの胸水も同じように、片肺が真っ白になります。 無気肺とは 無気肺は、肺の一部または全体に空気がなく、肺がつぶれた状態です Atelectasis 07 肺と気道の病気 MSDマニュアル家庭版 肺がぺしゃんこになっている状態ですね。 多くの場合は気管支が閉塞したことでその先の肺葉に空気出入りできなくて起こります(閉 読者になる ぬーみんの



胸部の画像診断のポイント 単純撮影が基本 Ctは確定要素 画像が典型的な問題 画像は非特異的で臨床経過が重要な問題 Ppt Download



112d31 Medu4でゼロから丁寧に医学を学ぶ
呼吸器領域の画像解剖と症例 兵庫医科大学放射線科 小林薫 第4回兵庫県放射線技師会読影セミナー 平成28年12月17日 本日の内容 •胸部単純x線写真について –基本的事項 •胸部ct:読影に必要な解剖について –肺野区域解剖 •各種症例の画像と読影のポイント –肺炎 –胸膜/胸壁疾患 –その 無気肺 無気肺は、 空気の流入が妨げられ肺が虚脱した(肺胞が潰れた)状態 のことです。 無気肺のメカニズム 全身麻酔による気管内チューブの挿管や吸入ガスの刺激で 気管内分泌物が増加 し、 肺胞腔内に貯留してしまう ことが原因で起こります。 肺胞内に分泌物などが貯留してしま所見からせまる胸部画像 肺野 小葉からみた所見の分布 びまん性とは? 限局性浸潤影・すりガラス影 びまん性浸潤影・すりガラス影 限局性粒状影 びまん性粒状影 孤立性結節影・腫瘤影 、結節陰影を来しうる肺感染症 多発性結節



X線診断の基礎知識 レントゲン写真の読み方 簡単解説



5 肺 胸膜 5 肺拡張不全 虚脱 無気肺 病理コア画像
画像的には中枢側(気管支側)に発生ことが比較的多いが、 抹消の肺に発生することもある。 診。胸部レントゲンで左上葉無気肺と気管支透亮像認め、左肺炎の診断で 同院呼吸器科入院となった。 食物や玩具の誤嚥のエピソードはない。 9歳時より 気管支喘息 喫煙歴なし 血圧126/74、脈拍80胸部x 線写真は肺の画像診断法として最もよく利用さ れている.呼吸困難の原因となる病態についても胸部x 線写真から多くの情報を得ることができる.それらの情 報を十分に活かすためには,画像を評価する際のポイン トを押さえておく必要がある. 本稿では,x 線写真を読影するに当たっ 無気肺について理解すると、看護のコツがつかめて、医師への連絡するタイミング、急変時対応なども行いやすくなります。 無気肺とは 痰などの気道分泌物による気道の閉塞や、胸水による圧迫など、なにかしらの原因で 気管支が閉塞すること によって



症例008 右中下葉無気肺 肺扁平上皮癌 胸部単純x線写真 X線写真 嚢胞 肺



Dm Ctg 筋強直性ジストロフィーの多臓器症状 呼吸障害
円形無気肺の画像所見 円形あるいは類円形の腫瘤影 を形成する。 胸膜肥厚 を伴うことが多い。 胸水 の既往があることが多い。 無気肺部に向かって近くの気管支と動脈が、弯曲する comettail sign(彗星の尾に似ている) を認めることあり。 症例 80歳代男性キー画像54 気管支内に鋳型状に充満する腫瘍と末梢肺の変化 末梢側:粘液栓、エアートラッピング、無気肺 ※白黒反転画像では、fingeringlove sign、treeinbud signの検出が容易で、またエアートラッピングのコントラストも良好。左下葉無気肺が生じている(左下肺野心 陰影に重なる部分の透過性低下,下行大動脈左側縁および左横隔 膜影は不明瞭化し,左肺全体の容積減少)。 c.左下葉支基部の扁平上皮癌により左下葉は完全無気肺に陥って いるのがct画像により確認できる。



症例 1 80歳代後半 男性



Jaot Or Jp
・背側肺の無気肺が改善 換気が均⼀化され肺傷害を回避 その結果として酸素も改善 腹臥位療法(PROSEVA study) p過去の研究では有意差なし pプロトコルを⼯夫 nP/F肺癌+下葉の限局性無気肺 下行大動脈のラインが見えない 過去画像があれば比較 1年前 肺癌 人工物に惑わされない! 肺癌 おまけ 人工物のx線像 (異物の誤飲、誤嚥) ボタン電池 チョーク 油性マジック のキャップ 積み木 あめ玉 乾電池 ガラス瓶 虫眼鏡 (プラスチックレンズ) ptpシート入院後経過:画像と気管支鏡所見より左上葉支完全閉 鎖による左上葉無気肺と診断した.1993年の検診時の 胸部x線を取り寄せて検討したところ,今回の腫瘤影 は認めないものの,左肺の肺紋理の減少と透過性亢進の 所見があり,この無気肺は以前より存在したものと考え られた.また,1996年



無気肺 Images Stock Photos Vectors Shutterstock



Hospital Tottori Tottori Jp
無気肺は胸部X線などの画像所見で診断される。閉塞性無気肺では急速に気道閉塞が進行する場合には、胸痛、呼吸困難、低酸素血症などの症状が認められることがある 無気肺の発生部位に変動を認めたメカニズムとして は,時間経過とともにリンパ腫による粘膜下浮腫の増強 部位が変化する単純写真による画像パターンとその解釈を示した.抗酸菌症として,肺結核と肺非結核性抗酸菌症の画像 診断の鑑別方法について示した. 〔日内会誌 102:2860~2874,13〕 Keywords 肺炎,Millerの二次小葉,Aschoffの細葉,区域性分布,非区域性分布,抗酸菌症 はじめに 肺炎はわが国に無気肺は、気道が閉塞したり、肺が圧迫されて空気が入らなくなることで起こる。 詳しく見てみると、無気肺の原因は次の4つに分類される。 1、閉塞性無気肺 気道が閉塞 し、その末梢にある肺に空気が入らなくなる状態。



43 Respiratory Insufficiency



無気肺とは コトバンク
無気肺は肺の空気が抜けた状態となるため、気管は病変側に引っ張られます(画像a)。 胸水の場合は、胸腔に通常よりも過剰な水が溜まるため、気管は病変とは反対側に押されて偏位します(画像 b) この原因によって、次にとるべき行動が異なります上葉無気肺によるminor fissure の上方への挙上、およびその無気肺の原因となった腫瘍下縁の突出像からなる逆S字状カーブは1925年にGolden が最初に指摘したもので、Golden inverted S signとして知られている。 732 ) 70 歳代、女性。咳と全身倦怠感。 >画像所見 : Chest Xp : 右上葉に強い閉



画像所見から4 続き 複十字病院 呼吸器センター 呼吸器科 のブログ



日々の症例 156 中葉症候群



閉塞性 瘢痕性 圧迫性無気肺の仕組みのイラスト フリー素材 看護roo カンゴルー



今日の症例 無気肺で肺が縮むということ3 やさしイイ呼吸器教室



症例004 別症例 左上葉無気肺 肺扁平上皮癌 胸部単純x線写真 X線写真 写真 症例



ケーススタディ 乾いた咳と息切れを呈するcovid 19除外患者 Sonosim



レッスン15 異常陰影を指摘せよ 難易度 中 2ページ目 日経メディカル



胸部レントゲンのポイント総まとめ スライドで解説 コキュトレ



日々の症例 156 中葉症候群



胸部x線写真 各論3 無気肺 やさしイイ呼吸器教室



肺の病気 肺気腫 無気肺 肺癌 ビ グルズの徒然日記



無気肺 05 肺疾患 Msdマニュアル プロフェッショナル版



その息切れ本当に大丈夫 肺の病気vol 3 Ct画像で見る 無気肺 心臓弁膜症 手術 みどり病院 神戸市西区



沖縄県医師会 沖縄県医師会報 07年4月号



症例12 疾患名 解説 各種疾患データベース



無気肺の看護 原因や看護問題 看護目標 計画と看護のポイント ナースのヒント



5 肺 胸膜 5 肺拡張不全 虚脱 無気肺 病理コア画像



肺炎や呼吸困難を起こすこともある無気肺はリハビリで予防できる 無気肺のリハビリ 予防 対策について解説します Ogスマイル



胸部x線ルネッサンス 下 診内研より495 医科 学術 研究 兵庫県保険医協会



肺結核 胸部 X 線 無気肺と浸潤と結核菌感染による胸水 の写真素材 画像素材 Image



無気肺で肺葉の位置関係を復習する ぬーみんの日記



肺炎や呼吸困難を起こすこともある無気肺はリハビリで予防できる 無気肺のリハビリ 予防 対策について解説します Ogスマイル



痰吸引の手引き 準備 バイタルサイン 血圧 脈拍 体温 測定 可能であればspo2のモニタリング 術前術後に測定し 異変がないかチェック 人工呼吸器患者の場合は最高気道内圧もチェック マスク 手袋を着用 手袋は滅菌手袋である必要は



Q A Vol 1 気管偏位で病態がわかる 胸部レントゲンに関するq A 日本離床学会



無気肺に対する看護のコツ 肺炎や術後に注意するポイント 気楽な看護 リハビリlife



無気肺 Images Stock Photos Vectors Shutterstock



中葉舌区症候群 肺全摘後症候群の慢性無気肺症例における Nasal Continuous Positive Airway Pressure 療法の試み Semantic Scholar



レッスン2 異常陰影を指摘せよ 2ページ目 日経メディカル



症例007 左下葉無気肺 気管支結節 胸部単純x線写真 X線写真 肺 結節



疾患に典型的な画像 肺癌 無気肺 胸水 1 やさしイイ呼吸器教室



11 胸部x線 読影セミナー Web医事新報 日本医事新報社



胸部レントゲンの異常所見まとめ 保存版 重要な疾患7つを解説 コキュトレ



今日の症例 無気肺で肺が縮むということ2 やさしイイ呼吸器教室



左肺前葉にみられた肺葉捻転の犬の1例 亀戸動物総合病院 墨田区 犬 猫の動物病院



Atelectasis Html



Mriで中枢性肺癌と無気肺の鑑別が可能 呼吸器内科医



症例010 板状無気肺 胸部単純x線写真 X線写真 肺 症例



循環器科 川口 鳩ヶ谷 蕨 北区赤羽の動物病院ならピジョン動物愛護病院



無気肺 Images Stock Photos Vectors Shutterstock



血痰 無気肺 気管支鏡



101g14 Medu4でゼロから丁寧に医学を学ぶ



1



日々の症例 73 無気肺と閉塞性肺臓炎



中葉舌区症候群 肺全摘後症候群の慢性無気肺症例における Nasal Continuous Positive Airway Pressure 療法の試み Semantic Scholar



入院5日目 無気肺変化なし 3娘ブログ ひっそり移転更新停止 ゚d゚



人工呼吸器の長期装着による 肺の膨らみやすさ の低下要因を探る Academist アカデミスト



1



肺炎 胸膜炎 無気肺 こどもの病気 おとなの病気



解答 解説 乾性咳嗽を主訴に来院した40歳代女性 実践 画像診断q A 羊土社 レジデントノート 羊土社



トピックス 小児科 すこやかアレルギークリニック



日々の症例 156 中葉症候群



症例12 疾患名 解説 各種疾患データベース



少量の胸水 無気肺 Youtube



Obayashihp Or Jp



解答 解説 健診異常を主訴に受診した60歳代女性 実践 画像診断q A 羊土社 レジデントノート 羊土社



今日の症例 無気肺で肺が縮むということ3 やさしイイ呼吸器教室



気管支 肺腫瘍



症例005 左上葉無気肺 肺小細胞癌 胸部単純x線写真 X線写真 症例 肺



日々の症例 73 無気肺と閉塞性肺臓炎



胸部x線写真 各論18 胸水と無気肺 やさしイイ呼吸器教室



メディカルa



鍋子 ネコの無気肺のレントゲン写真を見ながらおやすみなさい



無気肺とは ペベリンスキーズ ブログ



Jrs Or Jp



無気肺とは コトバンク



気胸と無気肺の違いはなんですか また関係性について教えてくださいm Yahoo 知恵袋



無気肺 術後無気肺 その他が原因のもの 臨床検査 61巻10号 医書 Jp



術前評価 関西医科大学麻酔科学講座



胸部単純写真の読影08



無気肺



Obayashihp Or Jp



その息切れ本当に大丈夫 肺の病気vol 3 Ct画像で見る 無気肺 心臓弁膜症 手術 みどり病院 神戸市西区



1



Saigaiin Sakura Ne Jp



無気肺 慢性閉塞性肺疾患のベクターアート素材や画像を多数ご用意 Istock



11 胸部x線 読影セミナー Web医事新報 日本医事新報社



解答 解説 労作時の呼吸困難を主訴とした50歳代男性 実践 画像診断q A 羊土社 レジデントノート 羊土社



Nos Golden S Sign



胸水と無気肺の胸部x線画像の鑑別 医学的見地から



その息切れ本当に大丈夫 肺の病気vol 3 Ct画像で見る 無気肺 心臓弁膜症 手術 みどり病院 神戸市西区



無気肺 見て わかる 病態生理と看護 花子のまとめノート



レッスン15 異常陰影を指摘せよ 難易度 中 2ページ目 日経メディカル



Jrs Or Jp



X線診断の基礎知識 レントゲン写真の読み方 簡単解説



30代肺ガン闘病記 無気肺状態のレントゲンとct



兵庫医科大学 外科学 小児外科



肺水腫



Obayashihp Or Jp



胸部ct 放射線科医コメント 大量の右胸水を認める 右下葉は一部無気肺になっている 肺野には結核 腫瘍を考えさせる異常所見は指摘できない 明らかな肺門部 縦隔リンパ節腫大は指摘でない 最初のページにもどる



解答 解説 労作時の呼吸困難を主訴とした50歳代男性 実践 画像診断q A 羊土社 レジデントノート 羊土社



無気肺 むきはい は治せるか 理学療法士greenのセラピストーク



遠隔画像診断 Jp

0 件のコメント:
コメントを投稿